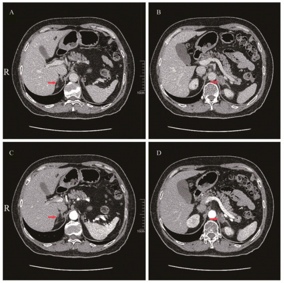
Fig 1 Adrenal characteristics of the patient A and B: Non-contrast CT; C and D: Contrast-enhanced CT. A mass was observed in the left adrenal gland, suggestive of an adenoma, measuring approximately 24 mm×16 mm. The unenhanced CT attenuation value was 19 HU(the arrow in B), and the post-contrast CTattenuation values in 3 phases were approximately 35, 55 and 31 HU(the arrow in D). No abnormalities were observed in the right adrenal gland(the arrow in A and C).