×
模态框(Modal)标题
在这里添加一些文本
关闭
关闭
提交更改
取消
确定并提交
×
模态框(Modal)标题
×
欢迎访问《复旦学报(医学版)》官方网站,今天是
分享到:
Toggle navigation
首页
关于本刊
期刊简介
奖励与荣誉
数据库收录
编委会
编委会
青年编委
投稿指南
常见问题
在线期刊
最新录用
当期目录
过刊浏览
阅读排行
下载排行
引用排行
E-mail Alert
下载中心
期刊政策
学术出版规范
伦理政策
版权政策
审稿流程
更正和撤稿
其他
联系我们
English
图/表 详细信息
离体时间和冻存时间对生物样本库乳腺癌和食管癌冰冻组织样本RNA质量的影响
郑仰思, 林旋豪, 李帆, 肖坤胜, 陈锡丰, 刘春鹏, 姚佩秀, 王少洪
复旦学报(医学版), 2025, 52(
03
): 437-445. DOI:
10.3969/j.issn.1672-8467.2025.03.015
图 6
乳腺癌样本和食管癌样本正常组织与肿瘤组织RIN值的比较
本文的其它图/表
图 1
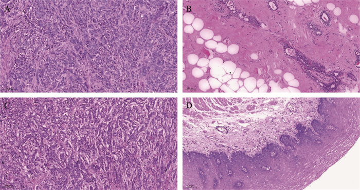
乳腺癌和食管癌肿瘤组织及其配对正常组织形态图(HE染色,×10)
图 2
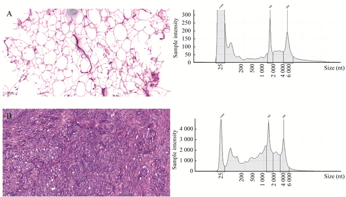
部分不合格样本组织形态图(HE染色,×10)及RNA质量分析数据
图 3
RIN值与RNA产量的相关性
图 4
RIN值与28S/18S、肿瘤组织中肿瘤细胞和坏死细胞百分比的相关性
图 5
乳腺癌样本与食管癌样本RIN值比较
图 7
离体时间对样本RNA质量的影响
图 8
冻存时间对样本RNA质量的影响