×
模态框(Modal)标题
在这里添加一些文本
关闭
关闭
提交更改
取消
确定并提交
×
模态框(Modal)标题
×
欢迎访问《复旦学报(医学版)》官方网站,今天是
分享到:
Toggle navigation
首页
关于本刊
期刊简介
奖励与荣誉
数据库收录
编委会
编委会
青年编委
投稿指南
常见问题
在线期刊
最新录用
当期目录
过刊浏览
阅读排行
下载排行
引用排行
E-mail Alert
下载中心
期刊政策
学术出版规范
伦理政策
版权政策
审稿流程
更正和撤稿
其他
联系我们
English
图/表 详细信息
1例年轻患者遗传性乳腺癌中
PTEN
基因突变的报道
张明迪, 刘亚璇, 肖银平, 马浚仁, 陈宏亮, 吴克瑾
复旦学报(医学版), 2024, 51(
05
): 857-863. DOI:
10.3969/j.issn.1672-8467.2024.05.032
图 2
患者乳房肿块HE染色及免疫组化结果(×100)
本文的其它图/表
图 1
查体所示腹股沟区(A)及腋窝区(B)皮肤多发赘生物
图 3
患者乳腺钼靶图像
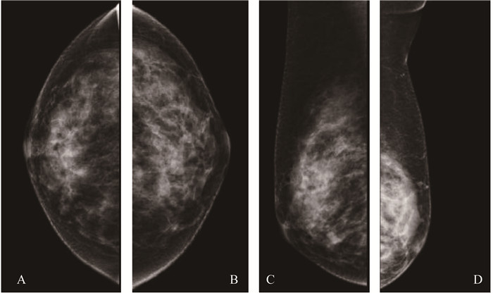
图 4
患者乳腺MRI图像
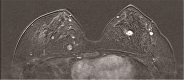
图 5
患者外周血基因二代测序检测
PTEN
基因突变位点
图 6
患者家系图谱